NEWS PLUS - Wissen/Gesundheit

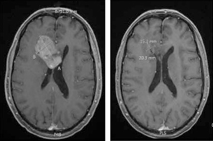
Hirntumore bei Kindern: Eine neue Hoffnung für kleine Krebspatienten

Die Überlebenschancen von krebskranken Kindern sind stark gestiegen. Manche Hirntumore bleiben aber schwer behandelbar. Ein neuer Therapieansatz zeigt Erfolge.

Related posts

Arsenal nach 3:0 bei Fulham wieder fünf Punkte vor ManCity

AUSZTRAJOB NEWS

In Würde gealtert: Warum “Agricola” auch nach 15 Jahren eine Partie wert ist

AUSZTRAJOB NEWS

Paxlovid reduziert das Risiko für Long Covid deutlich

AUSZTRAJOB NEWS
DMCA.com Protection Status